Veneers

Veneers are a popular cosmetic dentistry solution for people looking to improve the appearance and functionality of their teeth. They are thin, custom-made shells that are bonded to the front surface of your teeth, creating a natural-looking and long-lasting smile. Each porcelain shell is customised to match the natural colour of your teeth so they are unnoticeable and blend in with your existing teeth. Veneers are a great and aesthetically pleasing treatment option that will give you the smile you have always hoped for.

veneers smile

what to expect

How Does it Work?

At your first treatment appointment, your dentist will gently remove a small amount of enamel from your teeth to make space for the veneers. An impression of your teeth will then be taken and sent to a lab to create custom veneers that fit perfectly with your teeth. During this time, you will also have the opportunity to discuss the exact shade you desire for the veneers. Once the veneers are ready, they will be securely bonded to your teeth using a special light for just sixty seconds. This ensures a strong bond and keeps the veneers in place.

After completing your treatment, it is vital to maintain good oral hygiene to ensure the longevity of your veneers. Brushing at least twice a day and flossing daily is crucial. This habit prevents trapped bacteria from causing plaque and cavities. Paying attention to where the veneer meets the gum and thoroughly cleaning the area can prevent plaque buildup.

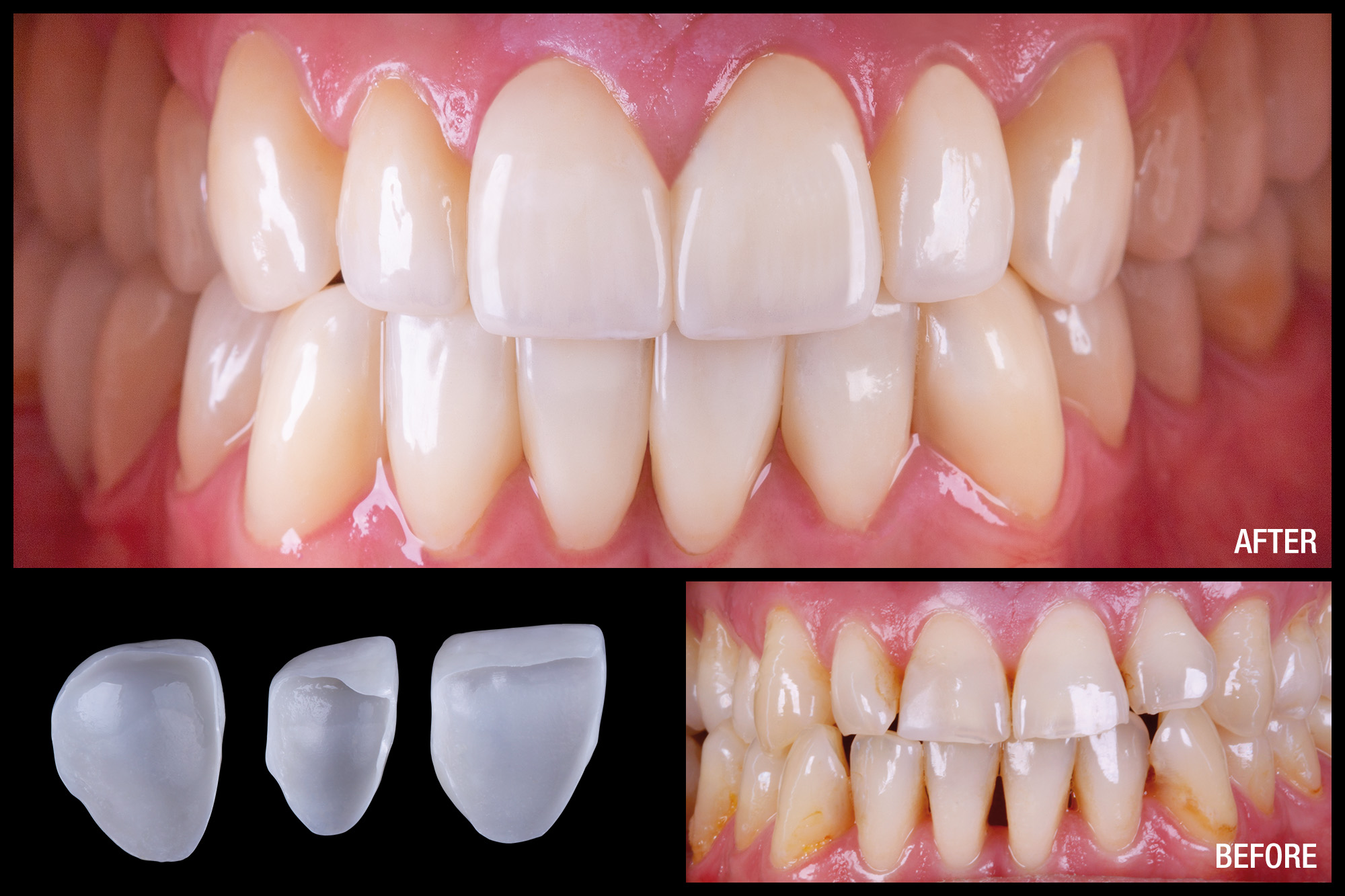
Veneers in Bromley 2

What are Porcelain Veneers?

Get the perfect smile with porcelain veneers. Say goodbye to gaps, stains, and uneven teeth. These thin porcelain shells adhere seamlessly to your teeth, giving you the look of perfectly aligned teeth. Unlike composite resins, veneers are durable and resistant. Custom-made for your teeth, they effortlessly hide any chips or cracks.

What Can Veneers Do For Me?

There are many benefits veneers can offer you. Here are a few examples:

Veneers in Bromley

Why are Veneers the Best Option for me?

One of the biggest advantages of veneers is that they require minimal preparation of your natural teeth. Unlike other cosmetic procedures, such as crowns or implants, veneers do not require much enamel to be removed from your teeth. This means that the procedure is minimally invasive and often painless. Veneers can also help protect against tooth decay by filling in any gaps that might be in between your teeth.

Overall, veneers are a popular choice for those looking to improve the appearance of their teeth. They provide a natural-looking, long-lasting solution for a variety of dental issues. However, it is important to consult with your dentist and carefully consider all options before deciding if veneers are right for you. With proper care and maintenance, veneers can help you achieve the smile you have always wanted. You can also split the cost of all our treatments here at Bromley Smiles with DivideBuy. Book your consultation today with our friendly and caring team to find out more about how we can help you achieve your dream smile.

MAKE AN ENQUIRY






    BEFORE & AFTER
    White teeth in Keston

    What our patients say

    Amazing dental practice
    Amazing dental practice
    I am so happy to have found this practice. All the staff are so friendly and caring. They all take the time to get to know you and have a friendly little chat along the way, which helps when you are nervous! I am happy with my treatment and look forward to coming back for treatments at Bromley Smiles. Patricia

    Bromley Smiles Dental
    Caring, kind and friendly practice
    Caring, kind and friendly practice
    I came to Bromley Smiles as I was in desperate need of a check-up, they managed to get me win and seen really quickly, the dental nurses were so kind and friendly, making me feel at ease considering I don't like going to the dentist! Was really impressed with how they dealt with me as a patient! Emily

    Bromley Smiles Dental
    Excellent, pain-free experience
    Excellent, pain-free experience
    I came to Bromley Smiles as a very nervous patient. I have put off going to my dentist for years due to the fear of the experience. I was so surprised that I had such an excellent and pain-free experience. Brilliant dentist with fantastic, friendly staff. Highly recommend and I wouldn't go anywhere else. Polly

    Bromley Smiles Dental
    null
    FOR EXAMINATION APPOINTMENT AND SCALE & POLISH
    White teeth in Bromley

    Smiles online

    A more convenient way to pay

    null

    OUR LOCAL COVERAGE AREA