White Fillings

A white filling is the method of filling a hole that has formed in your tooth called a cavity. This causes severe toothache and pain. They are an innovative solution for tooth decay and a more subtle option compared to the usual metal fillings. They are made to match your teeth’ natural shade perfectly. A cavity forms due to tartar buildup. This can cause a lot of pain and discomfort and is caused by poor oral hygiene. Regular brushing, flossing, and dental checkups are vital to helping you avoid the need for a white filling.

what to expect

What are White Tooth Fillings?

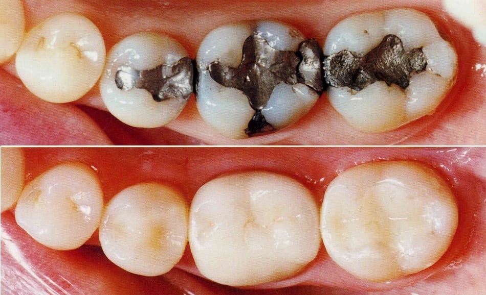
White fillings, or composite or tooth-coloured fillings, are a type of dental filling used to repair teeth that cavities or fractures have damaged. They are made from a mixture of plastic and glass materials and can be matched to the colour of your natural teeth, making them almost invisible.

white fillings Bromley

What are the Benefits of White Fillings?

One of the main benefits of white fillings is their aesthetic appeal. Unlike traditional metal fillings, which can be noticeable when you open your mouth, white fillings blend in with your natural teeth and give a more seamless look. Not only do they fill cavities, but they also prevent your teeth from decay. Our dentists use a strong bonding material that creates a solid foundation to ensure long-lasting protection for your teeth. White fillings are mercury-free, so they are better for your overall oral health. White fillings require less drilling than traditional metal fillings, meaning more of your natural tooth structure can be preserved, and the tooth remains stronger and is more durable. Some people even experience less post-treatment discomfort and sensitivity after having a white filling.

Get in Touch Today

White tooth fillings are a safe and effective alternative to traditional metal fillings. They offer many benefits, such as being mercury-free and preserving more of your natural tooth structure. We can also explore alternative treatments, including amalgam fillings and onlays, to find the best solution for you. If you are experiencing toothache, then contact Bromley Smiles. We are a caring and friendly practice that can solve your tooth pain. It has never been easier to book and pay for your dental treatments with our online booking portal and the ability to split the cost of your treatments using DivideBuy. Get in touch today to find out more and book your appointment.

MAKE AN ENQUIRY






    BEFORE & AFTER
    White teeth in Keston

    What our patients say

    Amazing dental practice
    Amazing dental practice
    I am so happy to have found this practice. All the staff are so friendly and caring. They all take the time to get to know you and have a friendly little chat along the way, which helps when you are nervous! I am happy with my treatment and look forward to coming back for treatments at Bromley Smiles. Patricia

    Bromley Smiles Dental
    Caring, kind and friendly practice
    Caring, kind and friendly practice
    I came to Bromley Smiles as I was in desperate need of a check-up, they managed to get me win and seen really quickly, the dental nurses were so kind and friendly, making me feel at ease considering I don't like going to the dentist! Was really impressed with how they dealt with me as a patient! Emily

    Bromley Smiles Dental
    Excellent, pain-free experience
    Excellent, pain-free experience
    I came to Bromley Smiles as a very nervous patient. I have put off going to my dentist for years due to the fear of the experience. I was so surprised that I had such an excellent and pain-free experience. Brilliant dentist with fantastic, friendly staff. Highly recommend and I wouldn't go anywhere else. Polly

    Bromley Smiles Dental
    null
    FOR EXAMINATION APPOINTMENT AND SCALE & POLISH
    White teeth in Bromley

    Smiles online

    A more convenient way to pay

    null

    OUR LOCAL COVERAGE AREA